科室动态 - 心内科

您的位置: 心内科 科室动态
  • CRT-D重启心脏奇迹,全病程管理护航生命新生——山东大学齐鲁医院(青岛)开启心衰治疗新篇章

    CRT-D重启心脏奇迹,全病程管理护航生命新生——山东大学齐鲁医院(青岛)...

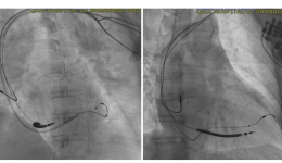
    CRT-D技术让七旬老人心脏“逆龄”复苏近日,山东大学齐鲁医院(青岛)心内科心电生理与起搏病区主任王守东成功为一名75岁重症心衰患者实施心脏再同步化除颤器(CRT-D)植入术,术后仅11天,其左室射血分数从35%显著提升至50%,心脏功能近乎恢复正常...

    发布时间:2025-06-13|来自:心内科
  • 防“颤”于未然!6月6日房颤义诊活动即将开启,共同守护心跳健康!

    防“颤”于未然!6月6日房颤义诊活动即将开启,共同守护心跳健康!

    你知道吗?房颤是最常见的心律失常疾病之一,常见症状包括心慌、气短、头晕等。发生房颤时,心房出现快速、不规则的电活动,丧失规律的机械收缩功能,表现为心跳紊乱。因其对心脏节律的持续影响,显著增加心源性卒中、心力衰竭和痴呆等风险,严重影...

    发布时间:2025-06-05|来自:心内科
  • 健康科普 | 不开胸也能换“心门”,老年人的心脏有救了

    健康科普 | 不开胸也能换“心门”,老年人的心脏有救了

    你知道吗?我们的心脏就像一座精密的房子,而心脏瓣膜就是房子里至关重要的“门”。在众多心脏瓣膜病中,主动脉瓣狭窄尤为常见,65岁以上人群中,每100个人里就有2到7个人被它困扰。随着全球人口老龄化加剧,越来越多的人正面临着这个“心脏危机”...

    发布时间:2025-06-03|来自:心内科
  • 我院心内科成功举办“世界肺动脉高压日”科普宣教及义诊活动

    我院心内科成功举办“世界肺动脉高压日”科普宣教及义诊活动

    5月5日,是一年一度的“世界肺动脉高压日”,我院心内科成功举办了以“让漏诊少一点,让识别早一点”为主题的科普宣讲及义诊活动,旨在提高大众对肺动脉高压的重视,提高患者生活质量。肺动脉高压是指由多种异源性疾病(病因)导致的肺血管结构或功...

    发布时间:2025-05-12|来自:心内科
  • 山东大学齐鲁医院(青岛)心内科结构性心脏病团队应用DragonFly™完成高危复杂二尖瓣极重度反流TEER手术

    山东大学齐鲁医院(青岛)心内科结构性心脏病团队应用DragonFly™完成高危...

    山东大学齐鲁医院(青岛)结构性心脏病团队在心内科学科带头人钟敬泉教授、科室主任姚桂华教授、副主任由倍安教授的支持指导下,在麻醉科副主任周金峰、心外科副主任霍玉峰等支持下,心内科结构心脏病医疗组长孟庆峰副主任医师带领结构心脏病团队为...

    发布时间:2025-05-08|来自:心内科
  • 喜讯!我院钟敬泉教授再获中国心血管健康联盟“房颤中心杰出领导奖”

    喜讯!我院钟敬泉教授再获中国心血管健康联盟“房颤中心杰出领导奖”

    近日,第十五届扬子江心脏论坛暨2024心房颤动防治专题研讨会在武汉隆重开幕,房颤中心2024年度会议及表彰授牌仪式同步举行。山东省房颤联盟获得“省级联盟先锋奖”,山东大学齐鲁医院(青岛)心内科学科带头人钟敬泉教授作为中国房颤中心专家委员会...

    发布时间:2025-01-02|来自:心内科
  • “大心脏、小机器”——无导线起搏器:解决患者心动过缓的法宝

    “大心脏、小机器”——无导线起搏器:解决患者心动过缓的法宝

    12月26日,山东大学齐鲁医院(青岛)成立11周年之际,我院心内科成功为一位经历两次外科开胸瓣膜置换、心脏极度扩大变形且有严重慢心室率房颤的患者植入最新的MicraAV无导线起搏器,解决了其心脏停跳风险,彰显了我院心内科在心脏起搏领域的实力。69...

    发布时间:2025-01-02|来自:心内科
  • “消失不见”的封堵器——山东大学齐鲁医院(青岛)成功完成我院首例生物可降解PFO封堵器植入

    “消失不见”的封堵器——山东大学齐鲁医院(青岛)成功完成我院首例生物可...

    近日,山东大学齐鲁医院(青岛)心内科在学科带头人钟敬泉教授、科室主任姚桂华教授、副主任由倍安教授的支持、指导下,孟庆峰副主任医师带领结构性心脏病团队与心超团队密切配合,结合超声和DSA两种影像技术,圆满完成我院首例生物可降解卵圆孔未...

    发布时间:2024-11-26|来自:心内科
  • 我院心内科成功举办第九届齐鲁心衰论坛 中国工程院院士张运致辞

    我院心内科成功举办第九届齐鲁心衰论坛 中国工程院院士张运致辞

    2024年11月2日,由山东大学齐鲁医院(青岛)心内科主办的第九届齐鲁心衰论坛暨青岛市心血管系统疾病医疗质量控制中心质控会&培训会、急慢性心力衰竭诊治新进展&心肌疾病精准诊疗论坛在青岛成功举行。会议由中国工程院张运院士,山东大学齐鲁医院心...

    发布时间:2024-11-11|来自:心内科
  • 精准定位 一伞双孔——我院心内科完成一例双孔房缺封堵治疗

    精准定位 一伞双孔——我院心内科完成一例双孔房缺封堵治疗

    近日,我院心内科成功为一位双孔房间隔缺损患者完成了封堵手术。术前经食道超声精准定位,术中应用介入封堵方案,成功用1枚封堵器封堵2处房间隔缺损,实现“一伞双孔”,成功“补救”了患者的“心病”。马女士(化名)因在我院查体发现房间隔缺损,...

    发布时间:2024-10-18|来自:心内科
患者服务 科室导航 百年齐鲁 96599预约电话
服务号
订阅号
网站纠错
网站纠错