科室动态 - 泌尿外科

您的位置: 泌尿外科 科室动态
  • 【“齐鲁医院在您身边”之大咖来了】泌尿外科陈军教授来青岛院区坐诊
    发布时间:2025-10-23|来自:泌尿外科
  • 【“齐鲁医院 在您身边”之大咖来了】泌尿外科知名专家史本康教授来青岛院区坐诊
    发布时间:2025-09-15|来自:泌尿外科
  • 健康科普 | 齐鲁解“泌”之膀胱篇

    健康科普 | 齐鲁解“泌”之膀胱篇

    提到膀胱,大家可能并不陌生,它是人体内名副其实的“小水库”,其容积一般在300-500ml。它位于盆腔内,“上游”是双侧肾脏,肾脏产生的尿液通过输尿管输送至膀胱暂时存储,待到膀胱“小水库”“蓄水”至一定程度时,可产生信号传递至大脑产生“尿...

    发布时间:2025-09-10|来自:泌尿外科
  • 患者来信|“杨医生,我想向您道一声谢谢……”

    患者来信|“杨医生,我想向您道一声谢谢……”

    近日,我院泌尿外科杨庆亚副主任医师收到了一封手写的感谢信。信纸上的字迹工整而真挚,这是一位即将出院的患者——小学教师刘女士,她用最真挚的方式,诉说了内心满满的感激。半个月前,刘女士因突发腰腹部疼痛,被诊断为左侧输尿管结石合并左肾积...

    发布时间:2025-09-03|来自:泌尿外科
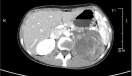
  • 术业求精 | 23岁姑娘“怀”10cm巨瘤,我院微创手术“拆弹”成功,美丽不留痕

    术业求精 | 23岁姑娘“怀”10cm巨瘤,我院微创手术“拆弹”成功,美丽不留痕

    一位23岁的年轻女性,体重仅43公斤,平时进食量不大,一直以为只是自己“胃口小”,直至在一次单位体检中,发现左侧肾上腺区域存在一个10×8×7厘米的巨大肿物,胃和脾脏均已受到明显挤压。医学上,肾上腺肿物若直径超过6厘米,恶性的可...

    发布时间:2025-08-26|来自:泌尿外科
  • 突破手术极限!我院泌尿外科成功实施建院以来最大体积前列腺增生激光剜除术​

    突破手术极限!我院泌尿外科成功实施建院以来最大体积前列腺增生激光剜除术​

    近日,山东大学齐鲁医院青岛院区泌尿外科焦方东教授团队凭借精湛技术与先进设备,成功为一名前列腺体积300克左右(正常约20克)的高龄患者实施钬激光前列腺剜除术。术后患者快速康复,排尿恢复通畅,此次手术的成功标志着我院在复杂前列腺疾病微创...

    发布时间:2025-08-05|来自:泌尿外科 宣传统战部
  • 新术式,我院泌尿外科应用完全腹膜外途径治疗肾盂癌

    新术式,我院泌尿外科应用完全腹膜外途径治疗肾盂癌

    近日,泌尿外科主任张冰带领团队成功实施医院首例一体位“完全腹膜外途径”腹腔镜肾盂癌根治术。患者术后恢复良好,已康复出院。此术式标志着我院在泌尿系肿瘤微创治疗领域取得新突破,为肾盂癌、输尿管癌等上尿路尿路上皮癌患者提供了新的治疗选择...

    发布时间:2025-07-04|来自:泌尿外科
  • 泌尿外科开展义诊活动,专业守护男性健康

    泌尿外科开展义诊活动,专业守护男性健康

    临近“父亲节”这个充满感恩的日子,我院泌尿外科将“健康”作为最温暖的节日礼物,于医院门诊二楼大厅成功举办“肾情父出,泌切关怀;前列’腺’行,父爱无疆”——泌尿健康父亲节特别义诊。泌尿外科张冰主任团队倾情奉献,现场反响热烈...

    发布时间:2025-06-13|来自:泌尿外科
  • 以爱为名,守护父亲的健康铠甲——父亲节泌尿健康公益行动

    以爱为名,守护父亲的健康铠甲——父亲节泌尿健康公益行动

    据《中国泌尿外科疾病诊疗指南(2024版)》统计,我国50岁以上男性中,约40%存在前列腺疾病潜在风险,泌尿系统结石、肿瘤等疾病发病率逐年攀升。值此父亲节之际,我院泌尿外科特开展专项公益筛查,以专业力量为每位父亲的健康保驾护航。⏰义诊时间...

    发布时间:2025-06-05|来自:泌尿外科
  • 山东大学齐鲁医院(青岛)泌尿外科手术机器人顺利开机并成功举办学术会议

    山东大学齐鲁医院(青岛)泌尿外科手术机器人顺利开机并成功举办学术会议

    2025年4月25日至26日,山东大学齐鲁医院(青岛)泌尿外科隆重举行了手术机器人开机仪式,并同期举办了多场高水平的学术会议,进一步提升了医院在泌尿外科领域的学术影响力和知名度。机器人开机仪式暨手术直播展示开机仪式上,山东大学齐鲁医院(青...

    发布时间:2025-05-08|来自:泌尿外科
患者服务 科室导航 百年齐鲁 96599预约电话
服务号
订阅号
网站纠错
网站纠错