科室动态 - 骨与软组织肿瘤科

您的位置: 骨与软组织肿瘤科 科室动态
  • 第六届齐鲁骨肿瘤论坛圆满举行

    第六届齐鲁骨肿瘤论坛圆满举行

    2025年3月29日,由山东省疼痛医学会主办、山东大学齐鲁医院(青岛)承办的“第六届齐鲁骨肿瘤论坛、山东省疼痛医学会第一届骨外科青年专业委员会第三次学术会议暨骨外科专业委员会骨肿瘤外科学组第三次学术会议”在青岛隆重召开。来自全国各地的100...

    发布时间:2025-04-03|来自:骨与软组织肿瘤科
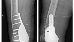
  • 软骨肉瘤,虽罕见,但切莫大意

    软骨肉瘤,虽罕见,但切莫大意

    近日,日照55岁的王先生出现右膝部疼痛2个月,而且病情逐渐加重,影响站立及行走,生活质量下降,在当地医院进行影像学检查后考虑股骨恶性肿瘤,推荐到齐鲁医院青岛院区,经过骨科中心学科带头人李建民教授接诊后查体、影像学评估及穿刺病理,最终...

    发布时间:2025-02-17|来自:骨与软组织肿瘤科
  • 骨囊肿不再担心,微创小孔能解决

    骨囊肿不再担心,微创小孔能解决

    近日,我院骨与软组织肿瘤科成功救治一位15岁的男性骨囊肿患者。患者因右大腿疼痛1周来院就诊,骨与软组织肿瘤科主任杨强带领团队采用骨关节镜微创手术的方式成功为患者刮除病灶。患者恢复良好,术后2天顺利出院。15岁男性患者就诊前1周剧烈活动后...

    发布时间:2025-02-05|来自:骨与软组织肿瘤科
  • 骨盆长出大恶瘤,“截”后重生创奇迹

    骨盆长出大恶瘤,“截”后重生创奇迹

    近日,我院骨与软组织肿瘤科成功救治一例盆骨巨大恶性肿瘤患者。患者整体恢复良好,并能在医护人员的指导下扶拐下地行走。55岁男性患者,因左臀部疼痛一年前来我院就诊。患者一年前无明显诱因出现左臀部疼痛,伴有包块发生,逐渐出现髋关节活动受限...

    发布时间:2025-01-21|来自:医院管理员
  • 小切口完成大手术:脊柱转移瘤分离手术

    小切口完成大手术:脊柱转移瘤分离手术

    脊柱是恶性肿瘤最常见的骨转移部位,据统计在恶性肿瘤患者中,有30%-40%的患者出现脊柱转移。早期多无明显症状,随着病情的发展,约有10%的患者会出现转移性硬膜外脊髓压迫(MESCC),开始出现持续性的剧烈疼痛,逐渐进展到肢体麻木无力、瘫痪、大...

    发布时间:2025-01-07|来自:骨与软组织肿瘤科
  • 我院骨与软组织肿瘤科举办恶性肿瘤多学科MDT学术交流会

    我院骨与软组织肿瘤科举办恶性肿瘤多学科MDT学术交流会

    2024年6月17日下午,由山东大学齐鲁医院(青岛)骨与软组织肿瘤科主办的恶性肿瘤多学科MDT学术交流会在博施楼多功能厅举行。此次会议旨在通过学术交流,加强院内肿瘤领域的沟通与合作,推动医院骨与软组织肿瘤诊治工作的专业化、规范化和多学科化发...

    发布时间:2024-06-21|来自:骨与软组织肿瘤科
  • 我院骨与软组织肿瘤科参加中国老年学和老年医学学会老年骨科分会换届会议,多名医生获聘重要学术任职

    我院骨与软组织肿瘤科参加中国老年学和老年医学学会老年骨科分会换届会议,...

    5月31日至6月1日,2024年老年骨科大会暨中国老年学和老年医学学会老年骨科分会学术年会在北京成功举行,同时举行换届选举大会,选举成立了第四届老年骨科分会委员会。我院骨科中心学科带头人李建民教授当选副主任委员,骨与软组织肿瘤科主任杨强当...

    发布时间:2024-06-07|来自:骨与软组织肿瘤科
  • 骨肿瘤科举行全国骨肿瘤会议

    “第四届全国骨肿瘤治疗进展及并发症防范策略学术研讨会”于12月14日在山东省青岛市胜利召开。本次会议为齐鲁医院自确定落户青岛以来,首次举办全国性学术会议。本次会议会议由来自国内著名骨肿瘤专家就骨肿瘤诊断治疗进展和骨肿瘤并发症防范进行了...

    发布时间:2014-03-19
  • 端午佳节施仁术,争分夺秒防截瘫

    端午佳节,我院骨肿瘤科在麻醉科医生、手术室护理的大力支持下,调配人员加班加点,完成两例胸椎肿瘤并脊髓损伤患者的肿瘤切除、脊髓减压急症手术。所行手术的两例患者均诊断为胸椎肿瘤,肿瘤压迫胸段脊髓,已经出现部分脊髓损伤症状,并且随时可能...

    发布时间:2018-06-19
  • 我院骨肿瘤科参加全国骨科年会学术盛宴载誉归来

    我院骨肿瘤科参加全国骨科年会学术盛宴载誉归来

    中华医学会第二十届骨科学术会议暨第十三届COA学术大会于2018年11月21-24日在福建省厦门市隆重召开,该会议是由中华医学会骨科学分会主办的国内骨科界最大的国际学术年会。随着骨科传承与创新的加速,一年一度的骨科年会成为海内外骨科同仁学术交流...

    发布时间:2018-11-28
患者服务 科室导航 百年齐鲁 96599预约电话
服务号
订阅号
网站纠错
网站纠错